Apa itu Gingivitis…?
"Kesehatan Gigi"
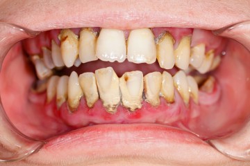
Gingivitis adalah suatu penyakit gusi yang menyebabkan iritasi, kemerahan dan pembengkakan hingga pada gusi.
Apa penyebab dari Gingivitis..?
Penyebab utama Gingivitis adalah kebersihan mulut yang Buruk,sehingga Terjadi penumpukan Plak pada permukaan gigi yang lama kelamaan plak mengeras membentuk karang gigi.
Apabila plak dan karang gigi tidak dibersihan kuman akan berkembang biak dan mengiritasi lapisan gusi yang menyebabkan radang gusi.
Apa Therapy/ perawatan untuk Gingivitis..?
Langkah umum yang dilakukan pada pasien radang gusi(Gingivitis), adalah dengan pembersihan karang gigi dan control plak secara berkala.
Lakukan control gigi setiap 6 bulan sekali dengan dokter gigi.
Menyikat gigi setidaknya 2 kali sehari yaitu pagi hari dan malam hari sebelum tidur
Perawatan tesebut dapat membantu mencegah kambuhnya Radang gusi (Gingivitis)

